Von Januar bis November 2008 pendelte Zahntechnikermeister Armin Wagner regelmäßig von Neuses (a.d.Regnitz) nach Essen ins Ruhrgebiet, um als Schüler vom international renommierten Volker Brosch, die Weiterbildung zum Dentalästhetiker zu durchlaufen. Herr Brosch, Gewinner des Goldenen Parallelometers (=Weltmeister der Zahntechniker) wählte aus einem Kreis von Bewerbern deutschlandweit 12 Zahntechniker aus, um an diesen sein hervorragendes Wissen und Können weiter zu geben. Die Schwerpunkte dieser außergewöhnlichen Spezialisierung lagen vor allem in der Herstellung hochästhetischer Frontzahnrestaurationen. Nach 11 Monaten harter Arbeit wurde mit der Diplomarbeit das erworbene Können abgeprüft und die ausgezeichnete Platzierung sorgte für einen letztlich krönenden Abschluss. Hierbei belegte Herr Wagner einen ausgezeichneten 2. Platz mit 550 Punkten und lag damit nur 1 Punkt hinter der Erstplatzierten Steffi Hippler aus Kassel.
Die Spezialisierung zum geprüften PSK®Dentalästhetiker umfasste eine sehr intensive Weiterbildung in folgenden Bereichen: 1. Frontzahnformen und Oberflächen Oberflächenmerkmale von Frontzähnen Schnitzübungen und Schichten von Zähnen mit Wurzeln Übertragen der Systematik auf keramische Oberflächen 2. Dreidimensional Schichten Voraussetzungen für die Herstellung der zu reproduzierenden Zahnfarben Welches Schichtschema für welche Zahnstrukturen? Cut – back und Doppel – Cut – back 3. Farbe und Ihre Dimensionen Die Dimensionen von Farbe und Licht Physikalische Phänomene Einfluss auf mögliche Farbvarianten bei natürlichen Zähnen Welche Konsequenzen entstehen für die Reproduktion natürlicher Zahnfarben? 4. Farbdimensionen mit Keramik reproduzieren Polychrome Schichtung von Kronen mit Hilfe von Fotografien Keramische Massen im Vergleich Umsetzung der Erkenntnisse in die Restaurationen 5. Konturierungstechnik Ursachen und Einfluss natürlicher Zahnstellungen Die Auswirkungen in der Ästhetik Wie verändert sich die Farbe? Interdental - Ästhetik - so werden Brückenrestaurationen optimal gestylt In umfangreichen Hausaufgaben wurde das Erlernte stets umgesetzt, um die eigene Arbeitsweise systematisch weiter zu perfektionieren.
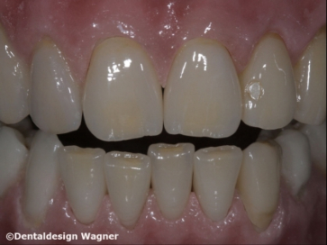
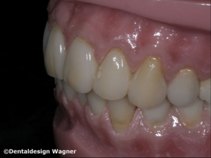
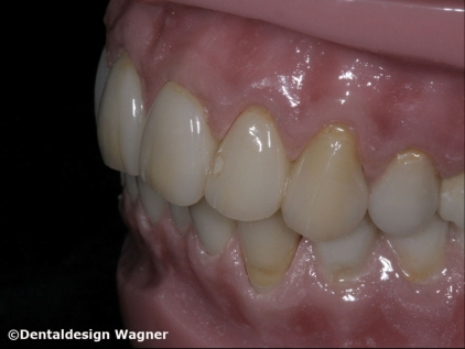
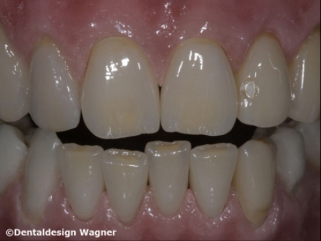
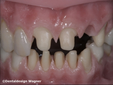
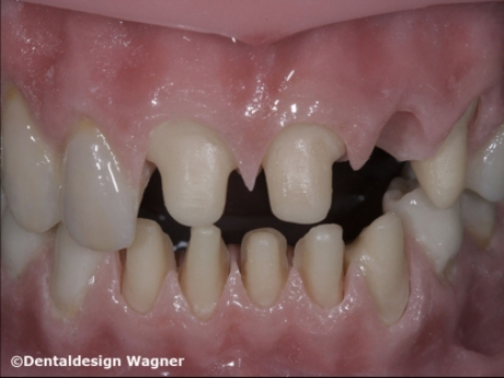
Die Diplomarbeit umfasste: OK: Zahn 11: Vollkeramikkrone Zähne 21-23: Vollkeramikbrücke UK: Zähne 42,41,31,32: Vollkeramikveneers Zahn 33: Vollkeramikkrone Die Schichtung wurde dem Patientenalter angepasst und mit Sekundärdentin abrasiv gestaltet. Als besonderes "Schmankerl" wurde bei Brückenglied 22 -auf Wunsch- eine Füllung imitiert. Es wurden ausschließlich die vollkeramischen Restaurationen beurteilt, die Modellherstellung floß nicht in die Bewertung mit ein.
Infos zur Auszeichnung PSK®Dentalästhetiker
Die Ausbildungsinhalte
Von Januar bis November 2008 pendelte Zahntechnikermeister Armin Wagner regelmäßig von Neuses (a.d.Regnitz) nach Essen ins Ruhrgebiet, um als Schüler vom international renommierten Volker Brosch, die Weiterbildung zum Dentalästhetiker zu durchlaufen. Herr Brosch, Gewinner des Goldenen Parallelometers (=Weltmeister der Zahntechniker) wählte aus einem Kreis von Bewerbern deutschlandweit 12 Zahntechniker aus, um an diesen sein hervorragendes Wissen und Können weiter zu geben. Die Schwerpunkte dieser außergewöhnlichen Spezialisierung lagen vor allem in der Herstellung hochästhetischer Frontzahnrestaurationen. Nach 11 Monaten harter Arbeit wurde mit der Diplomarbeit das erworbene Können abgeprüft und die ausgezeichnete Platzierung sorgte für einen letztlich krönenden Abschluss. Hierbei belegte Herr Wagner einen ausgezeichneten 2. Platz mit 550 Punkten und lag damit nur 1 Punkt hinter der Erstplatzierten Steffi Hippler aus Kassel.
Die Spezialisierung zum geprüften PSK®Dentalästhetiker umfasste eine sehr intensive Weiterbildung in folgenden Bereichen: 1. Frontzahnformen und Oberflächen Oberflächenmerkmale von Frontzähnen Schnitzübungen und Schichten von Zähnen mit Wurzeln Übertragen der Systematik auf keramische Oberflächen 2. Dreidimensional Schichten Voraussetzungen für die Herstellung der zu reproduzierenden Zahnfarben Welches Schichtschema für welche Zahnstrukturen? Cut – back und Doppel – Cut – back 3. Farbe und Ihre Dimensionen Die Dimensionen von Farbe und Licht Physikalische Phänomene Einfluss auf mögliche Farbvarianten bei natürlichen Zähnen Welche Konsequenzen entstehen für die Reproduktion natürlicher Zahnfarben? 4. Farbdimensionen mit Keramik reproduzieren Polychrome Schichtung von Kronen mit Hilfe von Fotografien Keramische Massen im Vergleich Umsetzung der Erkenntnisse in die Restaurationen 5. Konturierungstechnik Ursachen und Einfluss natürlicher Zahnstellungen Die Auswirkungen in der Ästhetik Wie verändert sich die Farbe? Interdental - Ästhetik - so werden Brückenrestaurationen optimal gestylt In umfangreichen Hausaufgaben wurde das Erlernte stets umgesetzt, um die eigene Arbeitsweise systematisch weiter zu perfektionieren.
Die Abschlußarbeit umfasste: OK: Zahn 11: Vollkeramikkrone Zähne 21-23: Vollkeramikbrücke UK: Zähne 42,41,31,32: Vollkeramikveneers Zahn 33: Vollkeramikkrone Die Schichtung wurde dem Patientenalter angepasst und mit Sekundärdentin abrasiv gestaltet. Als besonderes "Schmankerl" wurde bei Brückenglied 22 -auf Wunsch- eine Füllung imitiert. Es wurden ausschließlich die vollkeramischen Restaurationen beurteilt, die Modellherstellung floß nicht in die Bewertung mit ein.
Auszeichnung PSK®Dentalästhetiker
Die Ausbildungsinhalte
Von Januar bis November 2008 pendelte Zahntechnikermeister Armin Wagner regelmäßig von Neuses (a.d.Regnitz) nach Essen ins Ruhrgebiet, um als Schüler vom international renommierten Volker Brosch, die Weiterbildung zum Dentalästhetiker zu durchlaufen. Herr Brosch, Gewinner des Goldenen Parallelometers (=Weltmeister der Zahntechniker) wählte aus einem Kreis von Bewerbern deutschlandweit 12 Zahntechniker aus, um an diesen sein hervorragendes Wissen und Können weiter zu geben. Die Schwerpunkte dieser außergewöhnlichen Spezialisierung lagen vor allem in der Herstellung hochästhetischer Frontzahnrestaurationen. Nach 11 Monaten harter Arbeit wurde mit der Diplomarbeit das erworbene Können abgeprüft und die ausgezeichnete Platzierung sorgte für einen letztlich krönenden Abschluss. Hierbei belegte Herr Wagner einen ausgezeichneten 2. Platz mit 550 Punkten und lag damit nur 1 Punkt hinter der Erstplatzierten Steffi Hippler aus Kassel.
Die Spezialisierung zum geprüften PSK®Dentalästhetiker umfasste eine sehr intensive Weiterbildung in folgenden Bereichen: 1. Frontzahnformen und Oberflächen Oberflächenmerkmale von Frontzähnen Schnitzübungen und Schichten von Zähnen mit Wurzeln Übertragen der Systematik auf keramische Oberflächen 2. Dreidimensional Schichten Voraussetzungen für die Herstellung der zu reproduzierenden Zahnfarben Welches Schichtschema für welche Zahnstrukturen? Cut – back und Doppel – Cut – back 3. Farbe und Ihre Dimensionen Die Dimensionen von Farbe und Licht Physikalische Phänomene Einfluss auf mögliche Farbvarianten bei natürlichen Zähnen Welche Konsequenzen entstehen für die Reproduktion natürlicher Zahnfarben? 4. Farbdimensionen mit Keramik reproduzieren Polychrome Schichtung von Kronen mit Hilfe von Fotografien Keramische Massen im Vergleich Umsetzung der Erkenntnisse in die Restaurationen 5. Konturierungstechnik Ursachen und Einfluss natürlicher Zahnstellungen Die Auswirkungen in der Ästhetik Wie verändert sich die Farbe? Interdental - Ästhetik - so werden Brückenrestaurationen optimal gestylt In umfangreichen Hausaufgaben wurde das Erlernte stets umgesetzt, um die eigene Arbeitsweise systematisch weiter zu perfektionieren.
Die Diplomarbeit umfasste: OK: Zahn 11: Vollkeramikkrone Zähne 21-23: Vollkeramikbrücke UK: Zähne 42,41,31,32: Vollkeramikveneers Zahn 33: Vollkeramikkrone Die Schichtung wurde dem Patientenalter angepasst und mit Sekundärdentin abrasiv gestaltet. Als besonderes "Schmankerl" wurde bei Brückenglied 22 -auf Wunsch- eine Füllung imitiert. Es wurden ausschließlich die vollkeramischen Restaurationen beurteilt, die Modellherstellung floß nicht in die Bewertung mit ein.
Infos zur Auszeichnung PSK®Dentalästhetiker
Die Ausbildungsinhalte
Von Januar bis November 2008 pendelte Zahntechnikermeister Armin Wagner regelmäßig von Neuses (a.d.Regnitz) nach Essen ins Ruhrgebiet, um als Schüler vom international renommierten Volker Brosch, die Weiterbildung zum Dentalästhetiker zu durchlaufen. Herr Brosch, Gewinner des Goldenen Parallelometers (=Weltmeister der Zahntechniker) wählte aus einem Kreis von Bewerbern deutschlandweit 12 Zahntechniker aus, um an diesen sein hervorragendes Wissen und Können weiter zu geben. Die Schwerpunkte dieser außergewöhnlichen Spezialisierung lagen vor allem in der Herstellung hochästhetischer Frontzahnrestaurationen. Nach 11 Monaten harter Arbeit wurde mit der Diplomarbeit das erworbene Können abgeprüft und die ausgezeichnete Platzierung sorgte für einen letztlich krönenden Abschluss. Hierbei belegte Herr Wagner einen ausgezeichneten 2. Platz mit 550 Punkten und lag damit nur 1 Punkt hinter der Erstplatzierten Steffi Hippler aus Kassel.
Die Spezialisierung zum geprüften PSK®Dentalästhetiker umfasste eine sehr intensive Weiterbildung in folgenden Bereichen: 1. Frontzahnformen und Oberflächen Oberflächenmerkmale von Frontzähnen Schnitzübungen und Schichten von Zähnen mit Wurzeln Übertragen der Systematik auf keramische Oberflächen 2. Dreidimensional Schichten Voraussetzungen für die Herstellung der zu reproduzierenden Zahnfarben Welches Schichtschema für welche Zahnstrukturen? Cut – back und Doppel – Cut – back 3. Farbe und Ihre Dimensionen Die Dimensionen von Farbe und Licht Physikalische Phänomene Einfluss auf mögliche Farbvarianten bei natürlichen Zähnen Welche Konsequenzen entstehen für die Reproduktion natürlicher Zahnfarben? 4. Farbdimensionen mit Keramik reproduzieren Polychrome Schichtung von Kronen mit Hilfe von Fotografien Keramische Massen im Vergleich Umsetzung der Erkenntnisse in die Restaurationen 5. Konturierungstechnik Ursachen und Einfluss natürlicher Zahnstellungen Die Auswirkungen in der Ästhetik Wie verändert sich die Farbe? Interdental - Ästhetik - so werden Brückenrestaurationen optimal gestylt In umfangreichen Hausaufgaben wurde das Erlernte stets umgesetzt, um die eigene Arbeitsweise systematisch weiter zu perfektionieren.
Die Diplomarbeit umfasste: OK: Zahn 11: Vollkeramikkrone Zähne 21-23: Vollkeramikbrücke UK: Zähne 42,41,31,32: Vollkeramikveneers Zahn 33: Vollkeramikkrone Die Schichtung wurde dem Patientenalter angepasst und mit Sekundärdentin abrasiv gestaltet. Als besonderes "Schmankerl" wurde bei Brückenglied 22 -auf Wunsch- eine Füllung imitiert. Es wurden ausschließlich die vollkeramischen Restaurationen beurteilt, die Modellherstellung floß nicht in die Bewertung mit ein.
Infos zur Auszeichnung PSK®Dentalästhetiker
Die Ausbildungsinhalte